Przejdź do treści

ICON – infiltracja płynną żywicą

Cena: 720,00 

Poprzednia najniższa cena: 720,00 .

Data szkolenia: 2025-12-06

Miasto: Poznań

Adres: City Dental u. Stróżyńskiego 7



Dostępnych jest: 2

Kategoria:

Najważniejsze informacje:

  • Data szkolenia: 2025-12-06
  • Godziny szkolenia: 9:00-12:30
  • Miasto: Poznań
  • Adres: City Dental u. Stróżyńskiego 7
  • Prowadzący:dr n. med. hig. stom. Katarzyna Ostrowska-Pluta

W RAMACH SZKOLENIA MOŻNA UZYSKAĆ 21 PUNKTÓW EDUKACYJNYCH.

_______________________________________________________

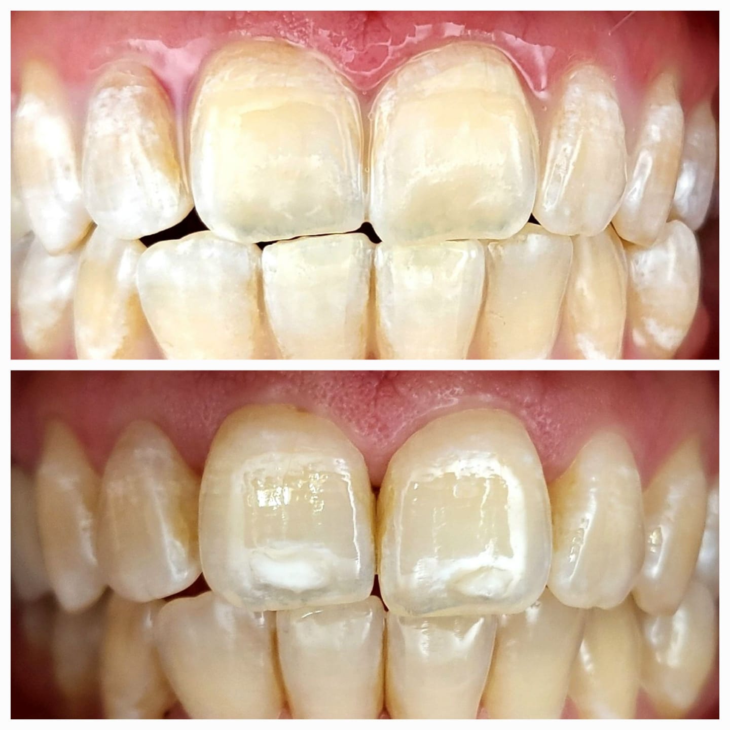
Szkolenie przeznaczone dla osób chcących rozpocząć samodzielne zabiegi infiltracji.

Każdy uczestnik szkolenia dowie się czym jest preparat ICON, pozna i zrozumie zasadę jego działania. Dowie się wg jakich kryteriów kwalifikować pacjenta do zabiegu. Zapozna się etiologią powstawania „białych plam” na zębach i dowie się, które z nich mogą zostać usunięte za pomocą preparatu ICON. Uczestnik szkolenia nabędzie umiejętność przygotowania preparatu, pacjenta oraz gabinetu do przeprowadzenia zabiegu. Każdy kursant posiądzie praktyczną umiejętność przeprowadzania zabiegu infiltracji płynną żywicą ICON poznając kolejność procedur, czasy ich wykonania oraz najczęściej popełniane przez personel błędy.

 

Część praktyczna w gabinecie w dniu szkolenia -przeprowadzenie zabiegu „in vivo” – na żywym pacjencie, pozwoli kursantom zdobyć doświadczenie w dostosowywaniu procedury zabiegowej do charakteru, etiologii i wielkości zmiany. Każdy uczestnik szkolenia pozna zalecenia po zabiegowe oraz zestaw praktycznych porad przydatnych pacjentom pozabiegowym.

 

Uczestnicy otrzymają certyfikat ukończenia szkolenia, zaświadczenie o przyznaniu punktów edukacyjnych oraz zestaw profilaktyczno-edukacyjny.

 

Harmonogram szkolenia:

9:00-9;45 częśc teoretyczna

9:45-12:30 część warsztatowa

Harmonogram

Prowadzący